Aparat dentar
Tratament:
-
-
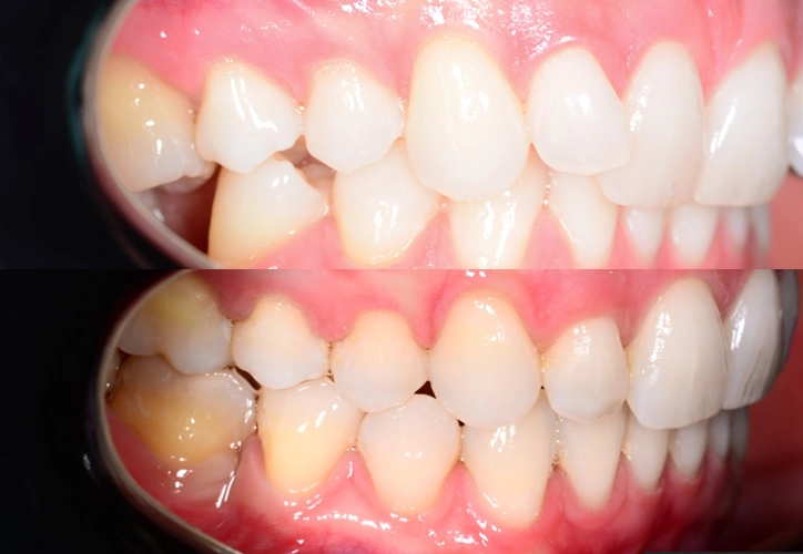
Tratament ortodontic cu aparat dentar cu brackeți metalici, durata 24 luniSituație inițială:
– două măsele lipsă la mandibulă: molarii de 6 ani/primii molari inferiori (pierderi vechi),
– spații dentare rămase deschise,
– devierea liniei mediane de jos spre stânga.Situație finală:– S-au inchis complet spațiile pe ambele parti(cu ajutorul molarilor doi și molarilor de minte).
– Liniile mediane sunt corect aliniate.
-
