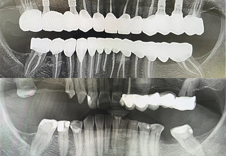
Tratament:
Endodonție si protetică dentară : Dr. Achim Borșanu
Chirurgie implantologie: Prof.Dr. Emanuel Bratu
Dental Dedication
Pentru confortul dumneavoastră, parcarea pentru pacienți este în curte.