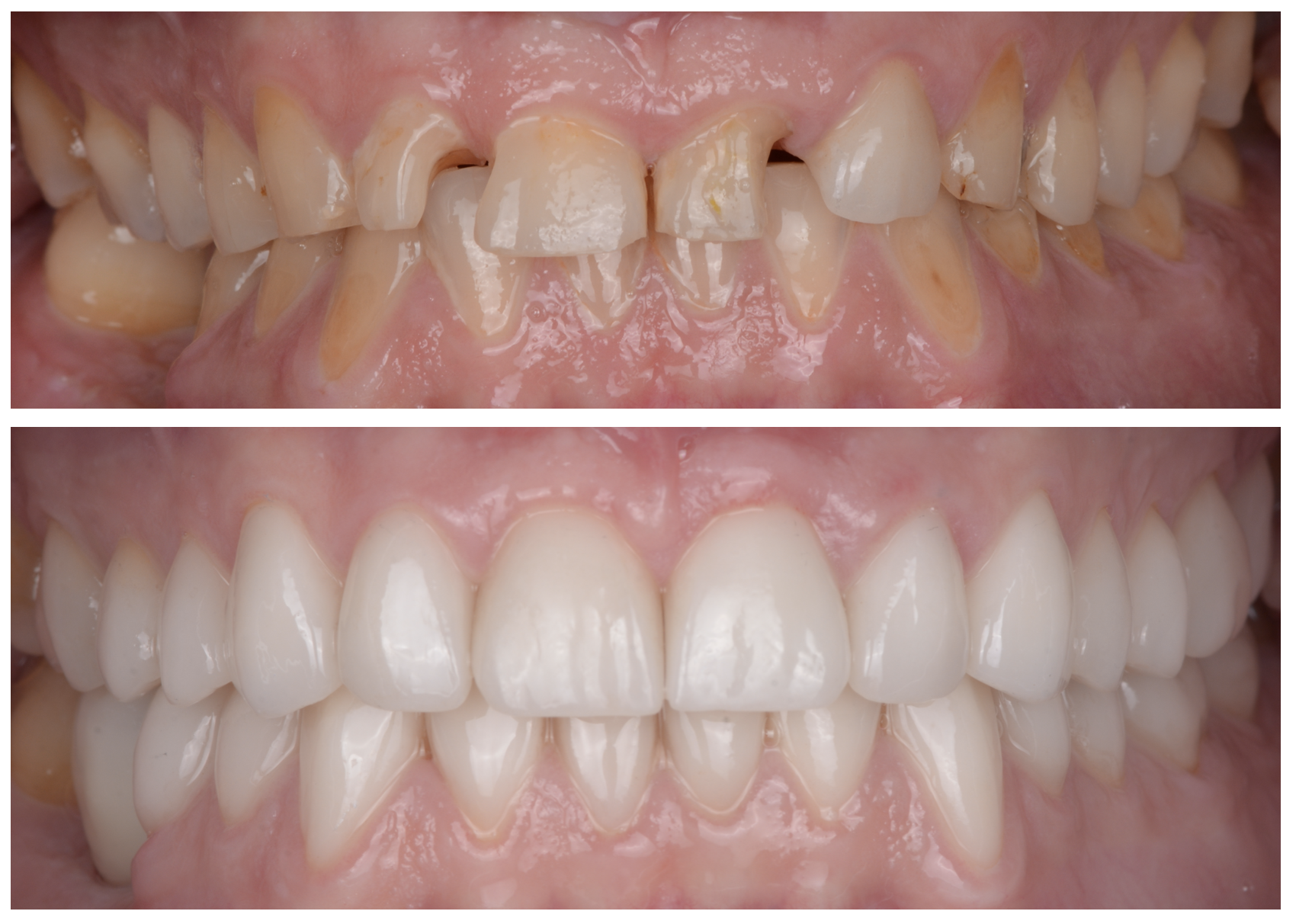
Tratament:
Protetică dentară: dr. Patricia Bere
Protetică dentară: Dr. Alban Okechukwu
Implantologie: Dr. Alban Okechukwu
Ace Implant Lab
Pentru confortul dumneavoastră, parcarea pentru pacienți este în curte.