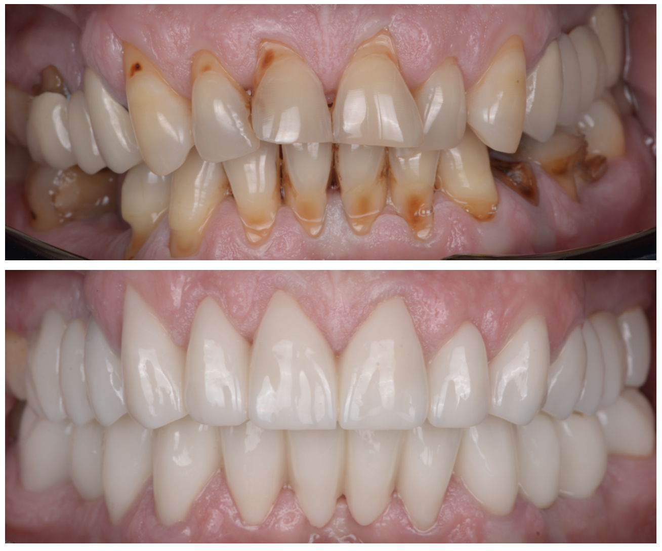
Reabilitare orală totalǎ

Tratament:

    • Implanturi dentare; Tratamente endodontice; Restaurări provizorii; Restaurări finale din zirconiu

Echipa medicală:

Tehnică dentară: