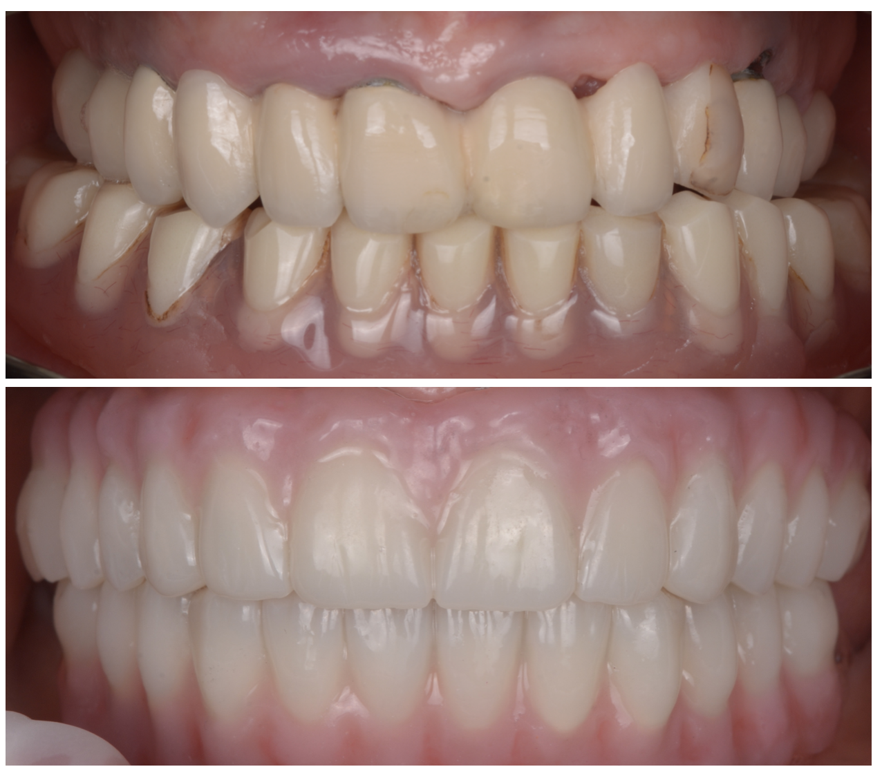
Schimbarea restaurărilor protetice vechi
restaurări noi înșurubate pe implanturi metalo-compozit frezat pe schelet de titan
Dr. Alban Okechukwu
Dr. Patricia Okwchukwu
Pentru confortul dumneavoastră, parcarea pentru pacienți este în curte.