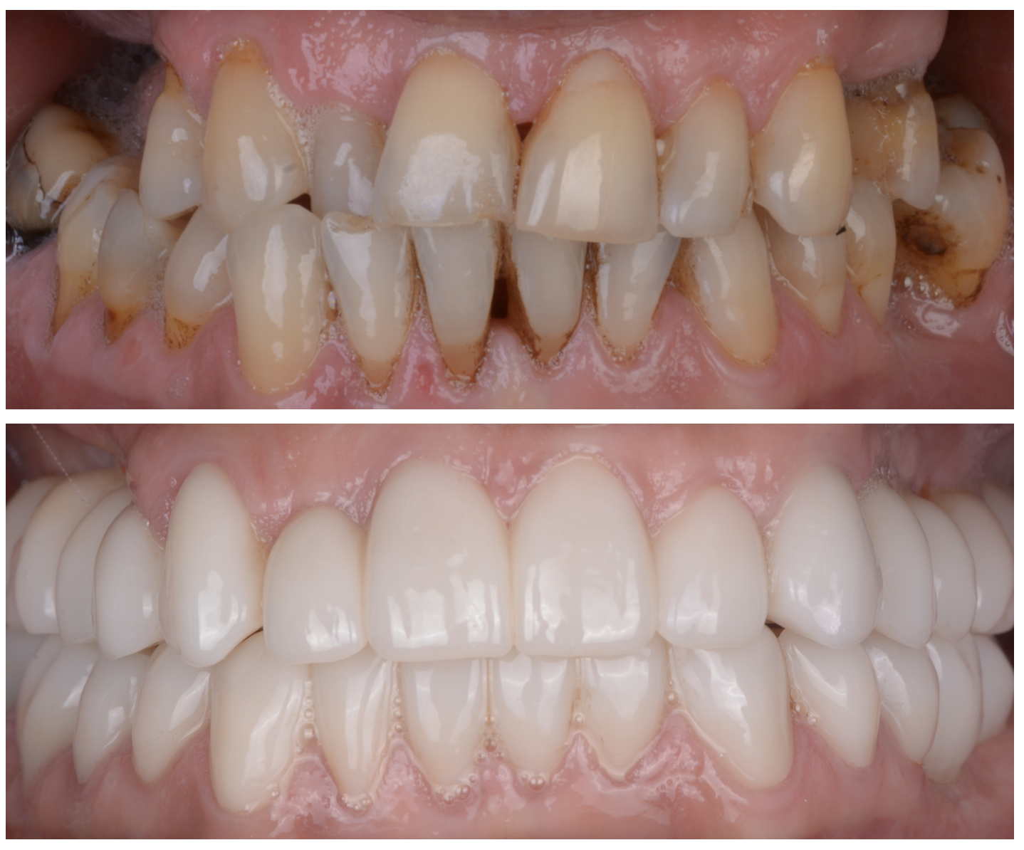
Tratament:
Augmentări osoase
implanturi dentare
tratamente endodontice
restaurări provizorii
restaurări finale din zirconiu
Dr. Alban Okechukwu
Dr. Patricia Okwchukwu
Pentru confortul dumneavoastră, parcarea pentru pacienți este în curte.