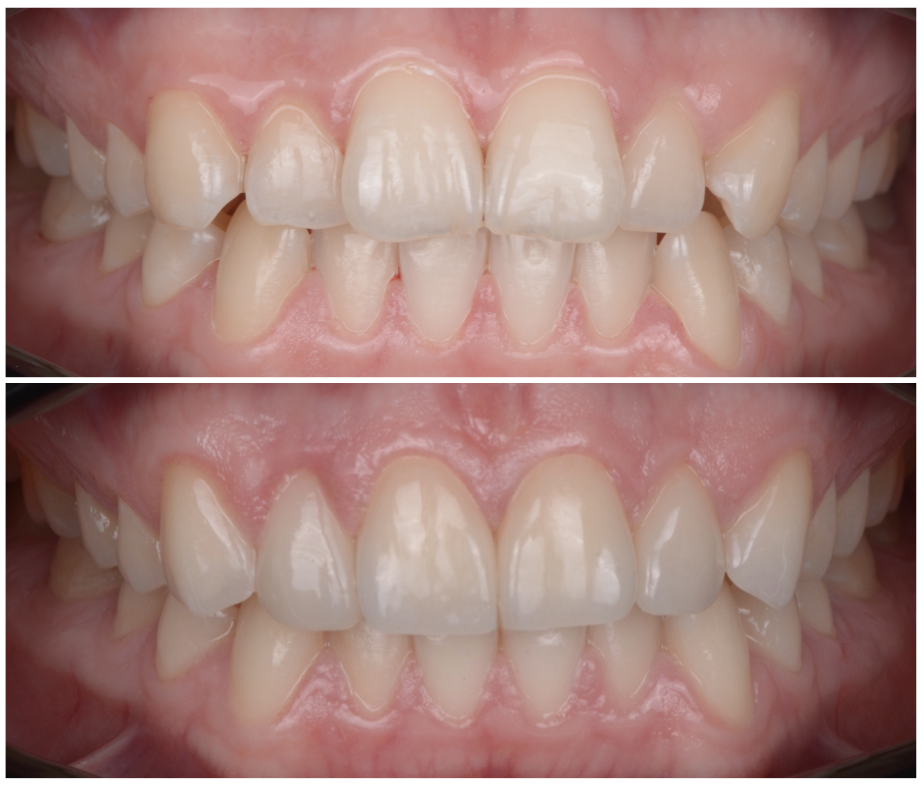
Tratament:
6 fațete dentare
Dr. Alban Okechukwu
Dr. Patricia Okwchukwu
Pentru confortul dumneavoastră, parcarea pentru pacienți este în curte.