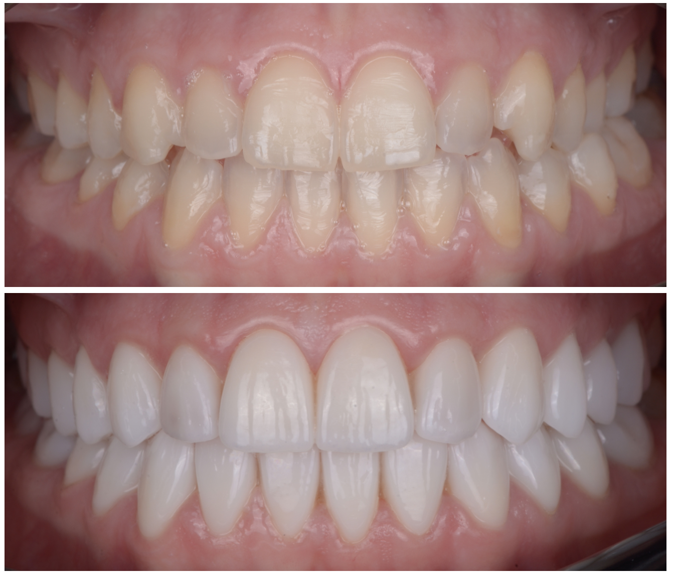
Tratament:
Protetică și estetică dentară: Dr. Patricia Bere
Protetică și estetică dentară: Dr. Alban Okechukwu
Ace Implant Lab
Pentru confortul dumneavoastră, parcarea pentru pacienți este în curte.