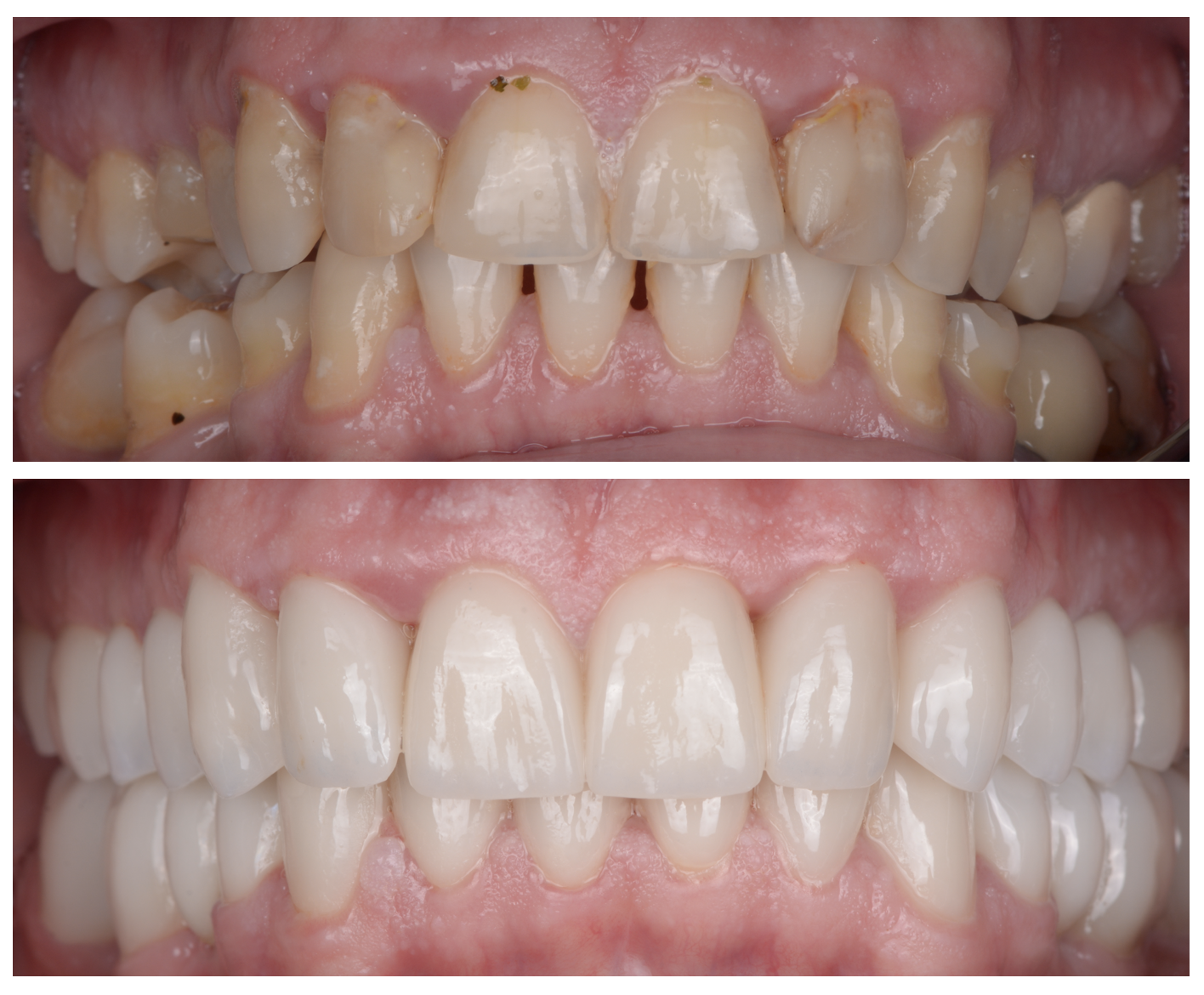
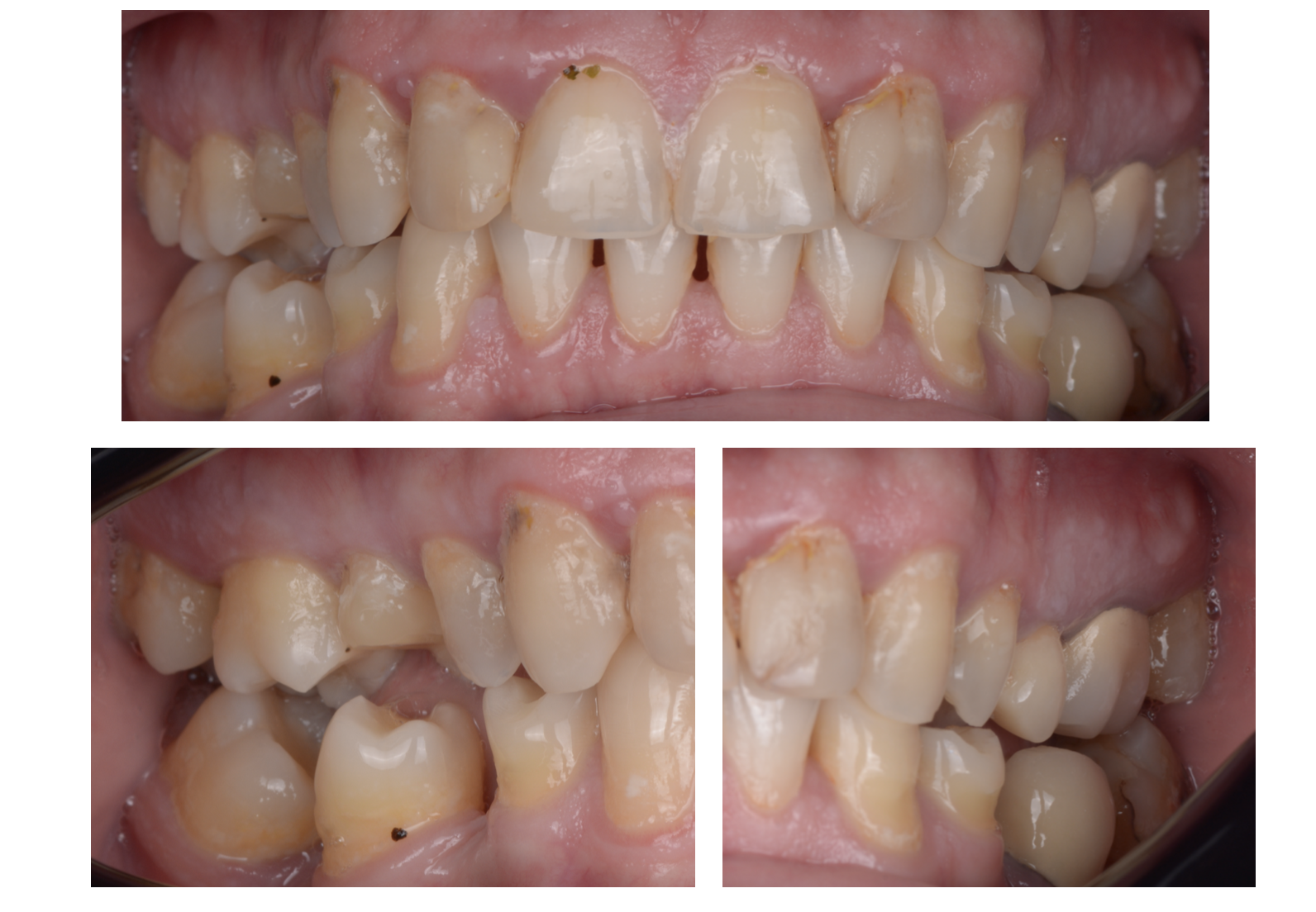
Tratament:
Estetică și protetică dentară: dr. Patricia Bere
Estetică și protetică dentară: Dr. Alban Okechukwu
Endodonție: Dr. Borsanu Achim
Ace Implant Lab
Pentru confortul dumneavoastră, parcarea pentru pacienți este în curte.