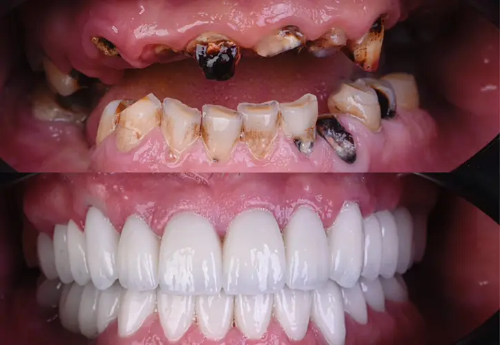
Reabilitare orală totală cu conservare maximă a dinților și implanturi



    • Alungiri gingivo-osoase, retratamente

      reconstrucții corono-radiculare

      inserarea implanturilor în breșe edentate 

      lucrări provizorii

      restaurări finale protetice din oxid de zirconiu

Echipa medicală: