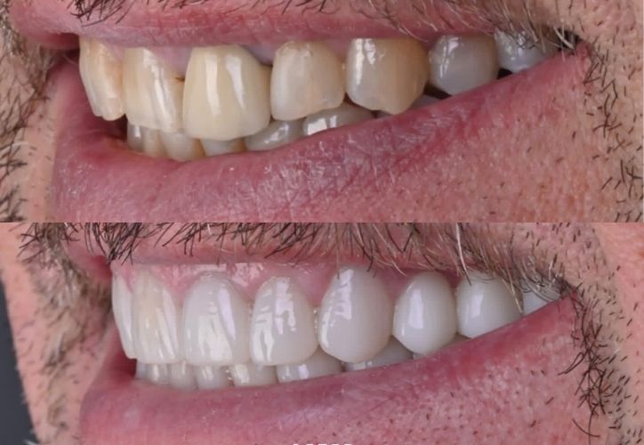
Tratament:
inserarea a 3 implanturi dentare în zona posterioară;
realizarea restaurărilor provizorii;
fațete și coroane integral ceramice
Chirurgie implantologie: Prof.Dr. Emanuel Bratu
Protetică dentară: Dr. Alban Okechukwu
Protetică dentară : Dr. Patricia Okwchukwu
Ace Implant Lab