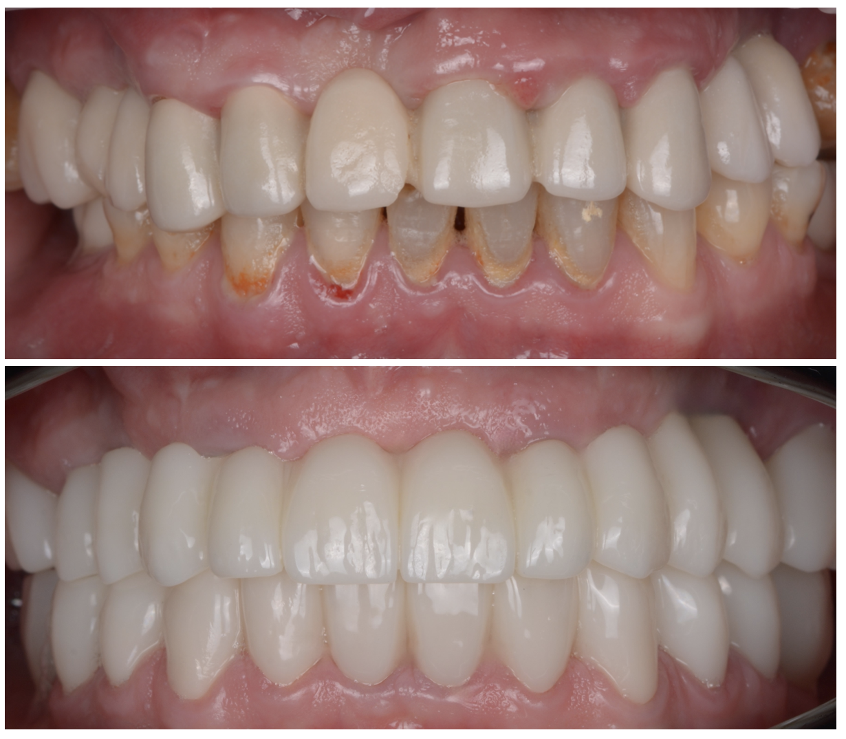
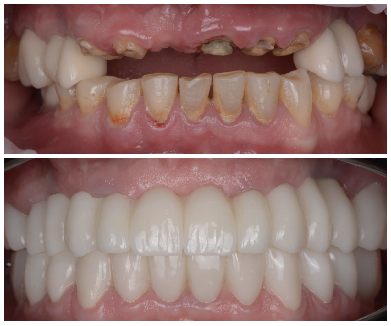
Tratament:
extracția dinților frontali irecuperabili
inserarea implanturilor dentare
lucrări provizorii
corectarea ocluziei
restaurări finale din zirconiu
Chirurgie implantologie: Prof.Dr. Emanuel Bratu
Chirurgie implantologie: Dr. Alban Okechukwu
Protetică dentară : Dr. Patricia Okwchukwu
Ace Implant Lab
Pentru confortul dumneavoastră, parcarea pentru pacienți este în curte.