Home
Services Rates
Who are we?
About us
Our Team
Dental Education
Premium experience
Cases
Services
Dental Implant – Guided Surgery
Dental Veneers
Dental prosthetics
Dental technique
Fast&Fixed
Endodontics
Orthodontics
Dental whitening
Dental Radio diagnostic
BLOG
contact
Appointment
#12915 (no title)
Home
Services Rates
Who are we?
About us
Our Team
Dental Education
Premium experience
Cases
Services
Dental Implant – Guided Surgery
Dental Veneers
Dental prosthetics
Dental technique
Fast&Fixed
Endodontics
Orthodontics
Dental whitening
Dental Radio diagnostic
BLOG
contact
Appointment
#12915 (no title)
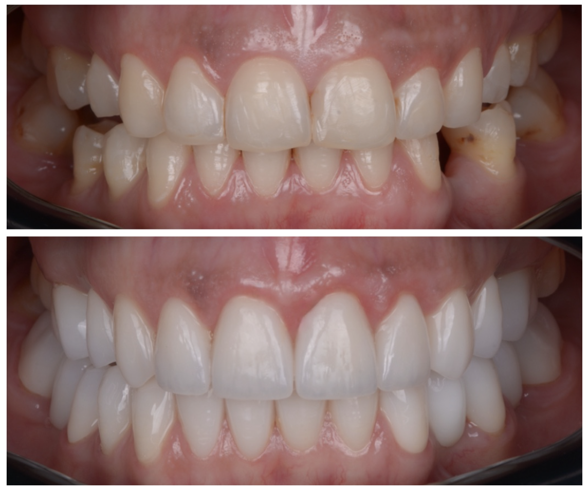
Transformare estetică prin fațete și restaurări ceramice
Tratament:
Fațete dentare
restaurări ceramice
Echipa medicală:
Dr. Alban Okechukwu
Dr. Patricia Okwchukwu
Scroll To Top