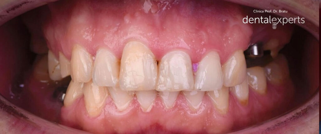
Aesthetic and functional restoration of the smile
Treatment:
- Full ceramic crowns and veneers


Medical team:
Dental technique:
Appointment
If you want to make an appointment, send us a message. Our front desk office colleagues are at your disposal with information and answer your questions.
Patients visiting our clinic benefit from one of the 4 parking spaces inside the courtyard, marked in blue.